첫 회사 때 쓰였던 기술... 메일함 정리하다가 그때 찾았던 자료가 있어서...
http://dtimofeev.blogspot.com/2009/06/terrain-geomorphing-in-vertex-shader.html
Terrain Geomorphing in the Vertex Shader
Читал несколько статей на эту тему. Искал с рабочими примерами (желательно на XNA + HLSL), конкретно с пред расчетом и готовым шейдером. Но ...
dtimofeev.blogspot.com
'Visualization Programming > DirectX9' 카테고리의 다른 글
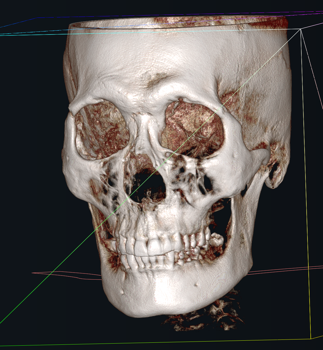
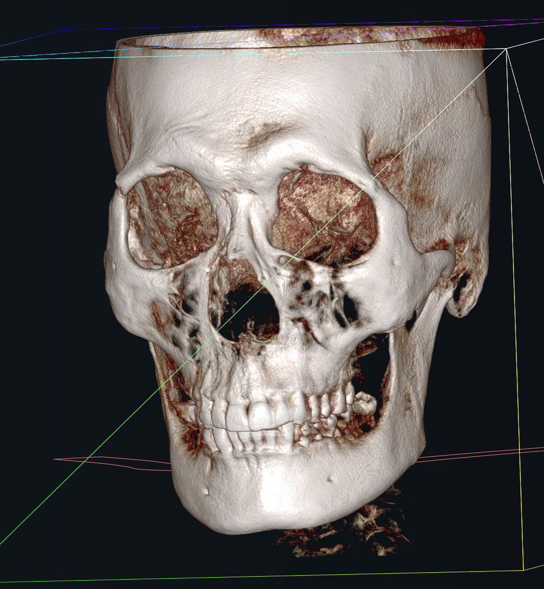
| DirectX9 - Volume Rendering 적용해봤음 (0) | 2019.04.30 |
|---|---|
| DirectX9 - DirectX SDK (June 2010) 설치할 때 Error Code S1023 (0) | 2018.08.08 |
| DirectX9 - 투명 윈도우를 이용한 글자 띄우기 (0) | 2016.05.19 |




Banner_dx9_test.zip